
Photo from https://www.carlstondentalgroup.com/
Invisalign is a modern orthodontic treatment that uses a series of custom-made, clear, removable plastic aligners to gradually straighten teeth and correct bite issues. Unlike traditional metal braces, these aligners are virtually invisible, comfortable, and allow for normal eating and brushing since they're removable. It's suitable for mild to complex cases, including crowding, spacing, overbites, underbites, and crossbites.
Your orthodontist or dentist examines your teeth and discusses goals. They use a digital scanner (often iTero) to create a precise 3D model of your mouth. No messy impressions needed in most cases.
Using ClinCheck software, your doctor maps out the exact tooth movements. You'll see a virtual simulation (preview) of your future smile. The plan determines the number of aligners needed.

Photo from https://drjenningsortho.com/
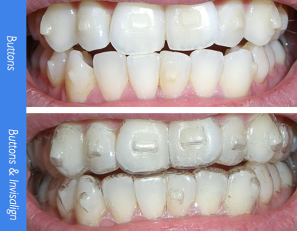
Small tooth-colored "SmartForce attachments" (bumps) may be bonded to certain teeth for better grip and control over complex movements like rotations. These are barely noticeable.

Photo from https://www.gireorthodontics.com/
You get your first sets of aligners. Wear them 20–22 hours per day, removing only for eating, drinking (hot/sugary liquids), and cleaning. Switch to a new set every 1–2 weeks.
Visits every 6–8 weeks to monitor progress, get new aligners, and make adjustments.
Toward the end, if minor tweaks are required, additional aligners are made based on new scans. This is common and ensures perfect results.
After treatment, wear retainers (often Vivera brand) full-time initially, then nights only, to prevent teeth from shifting back.
Invisalign can dramatically improve smiles, even in challenging cases.

Photo from https://smiledentgreenlanes.com/
Invisalign is provided by trained orthodontists or dentists. Always consult a professional for personalized assessment, as results vary. If you have questions about suitability or costs, see an Invisalign provider!
And we Brilliant Orthodontics is also providing the Dental Sheets for Invisalign, if you are interested in, please let us know. More information like size and prices, email us info@bortho.com
To download and view our latest products catalog, please click the button below.
Download